
ServicesTranslational BiologyIn Vivo PharmacologyImmune Disease ModelsImiquimod (IMQ)-Induced Psoriasis in Mice
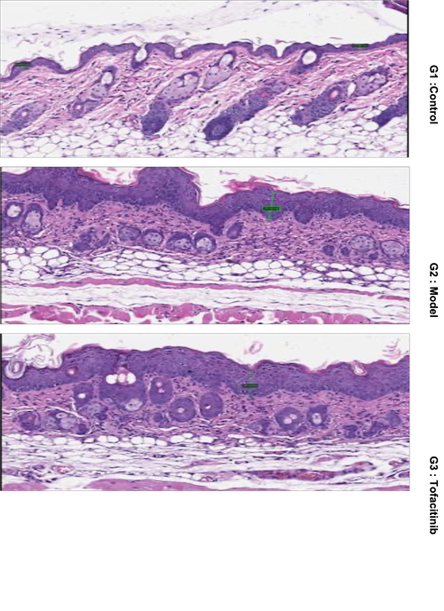
Imiquimod (IMQ)-Induced Psoriasis in Mice

Animal: BALB/c mice, female, 7.5 weeks
Modeling: IMQ painted on shaved back skin daily
Reference Drug: Tofacitinib, p.o., BID
Readouts: Body weight, PASI score, skin thickness, pathology
PASI Score Criterial: Erythema, scale, and thickness
0: no; 1: mild; 2: moderate; 3: sever; 4: marked




Your Trusted Partner Starts Here
Let’s talk. We’ll reach out immediately to understand how we can help.