
ServicesTranslational BiologyMolecular BiologyshRNA-Mediated Target Gene Knockdown and Stable Cell Line Generation
shRNA-Mediated Target Gene Knockdown and Stable Cell Line Generation
Constitutive and Inducible shRNA Knockdown
Constitutive target gene knockdown
Tet-inducible target gene knockdown
Lentivirus packaging, infection, and stable cell line generation
Verify Inducible Target KD in Stable Cell Lines by RT-Taqman

Verify Target KD in Stable Cell Lines by Western blot


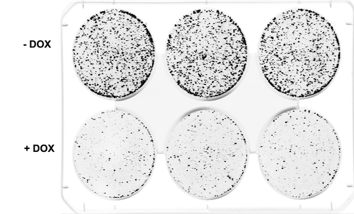
Evaluate Growth Inhibition by Clonogenic Assay
Non-Targeting shRNA

Target A shRNA #1

Target A shRNA #2

Target A shRNA Stable Cell Lines


Your Trusted Partner Starts Here
Let’s talk. We’ll reach out immediately to understand how we can help.